Dr. Alberto Ferrara

Prof ac di Parodontologia
Università di Parma

Mi chiamo Alberto Ferrara e sono laureato in Medicina e Chirurgia, con specializzazione in Odontostomatologia. Sono professore di Parodontologia ed Implantologia all’Università di Parma dal 1987 e Socio Attivo della Società Italiana di Parodontologia ed Implantologia.

Collaboro da molti anni con lo Studio Medico Neri Pinzuti presso il quale ricevo i pazienti e opero in équipe multidisciplinare.
Via Santa Radegonda, 11, 20121 Milano MI
Vai al sito web dello Studio Medico Neri Pinzuti
Collaboro da molti anni con lo Studio Medico Neri Pinzuti presso il quale ricevo i pazienti e opero in équipe multidisciplinare.
Via Santa Radegonda, 11, 20121 Milano MI
Vai al sito web dello Studio Medico Neri Pinzuti

Attività

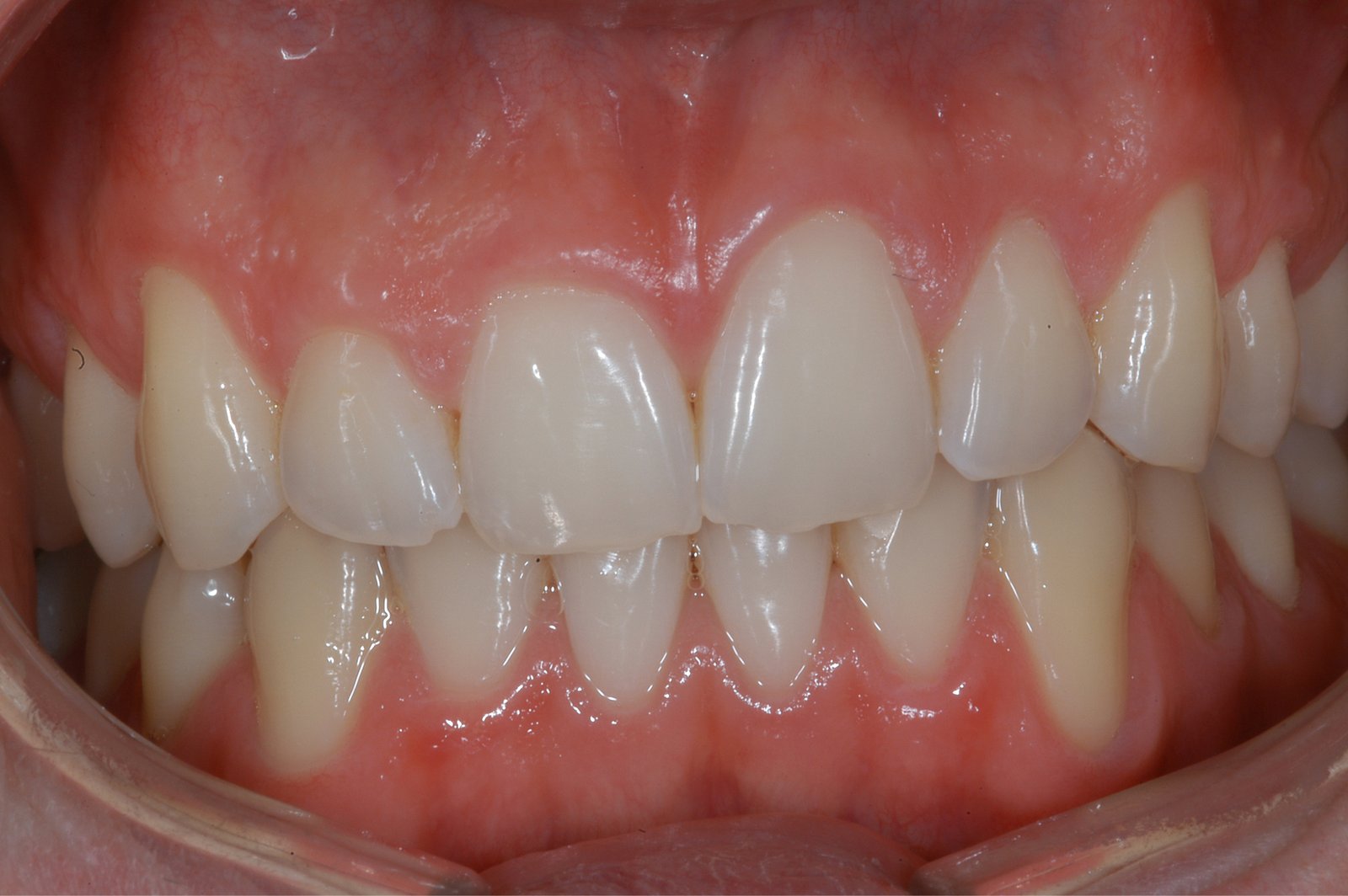
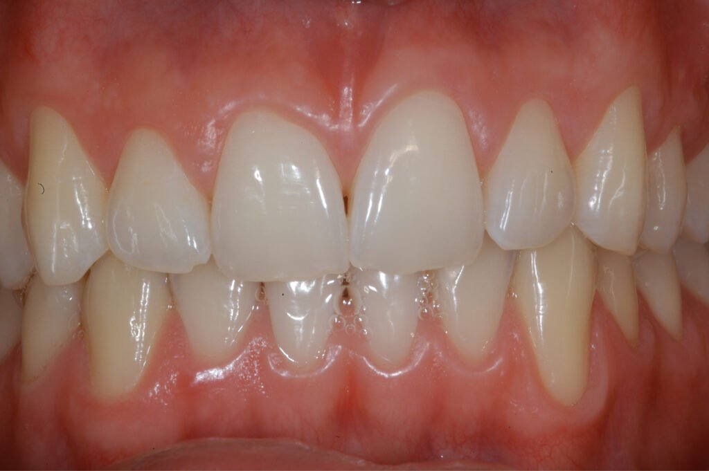
La mia attività clinica riguarda sia la parodontologia chirurgica e non che la chirurgia implantare e la ricostruzione protesica di denti mancanti o che necessitano di riabilitazione.

Mission

La mission di un parodontologo è quella di conservare il più possibile la dentatura naturale in uno stato di salute e utilizzare l’ implantologia sono nella sostituzione dei denti che non hanno alcuna possibilità di sopravvivenza.

Servizi

Terapia Parodontale non Chirurgica

La Terapia Parodontale di Supporto (TPS) è un programma di sedute di Igiene Orale Professionale atte a evitare che si manifesti una malattia parodontale o per evitare dopo una guarigione che ci possa essere una recidiva di malattia.

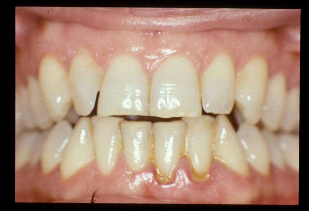
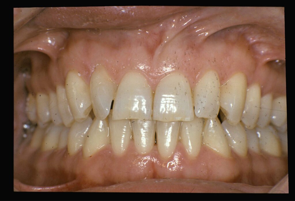
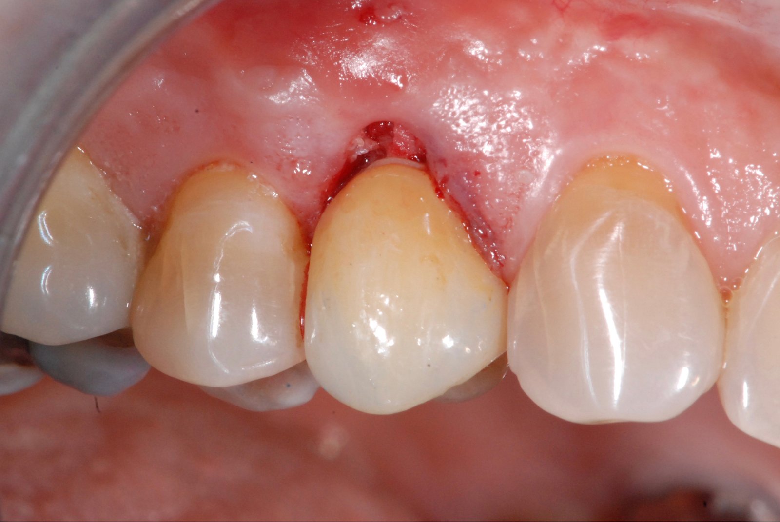
Chirurgia Parodontale

Nei casi in cui le lesioni sono particolarmente gravi si deve ricorrere alla chirurgia parodontale per poter guarire le tasche che si sono formate e a seconda dei casi si utilizzano interventi di chirurgia ossea resettiva o di rigenerazione dei tessuti parodontali.

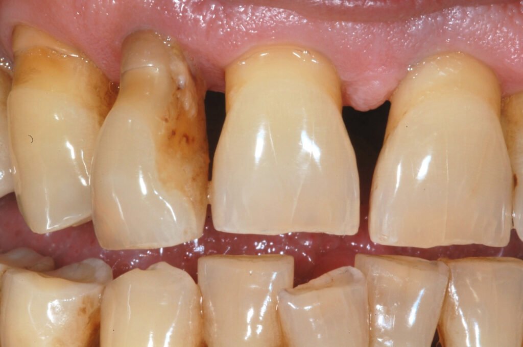
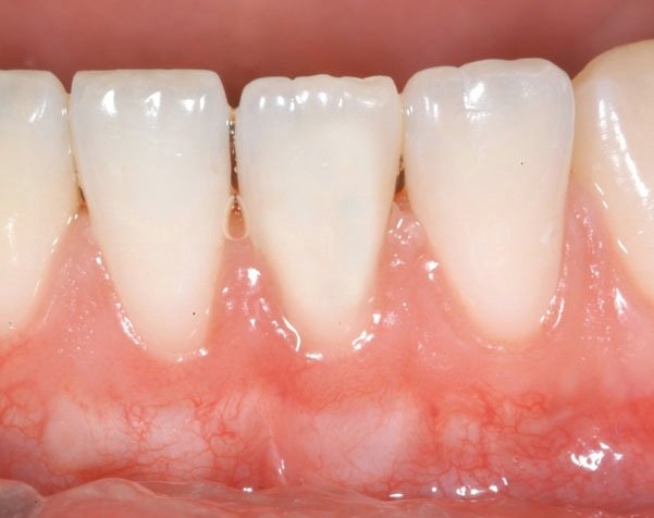
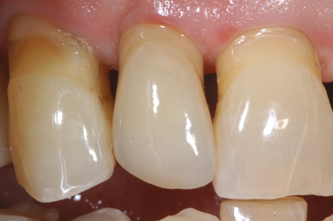
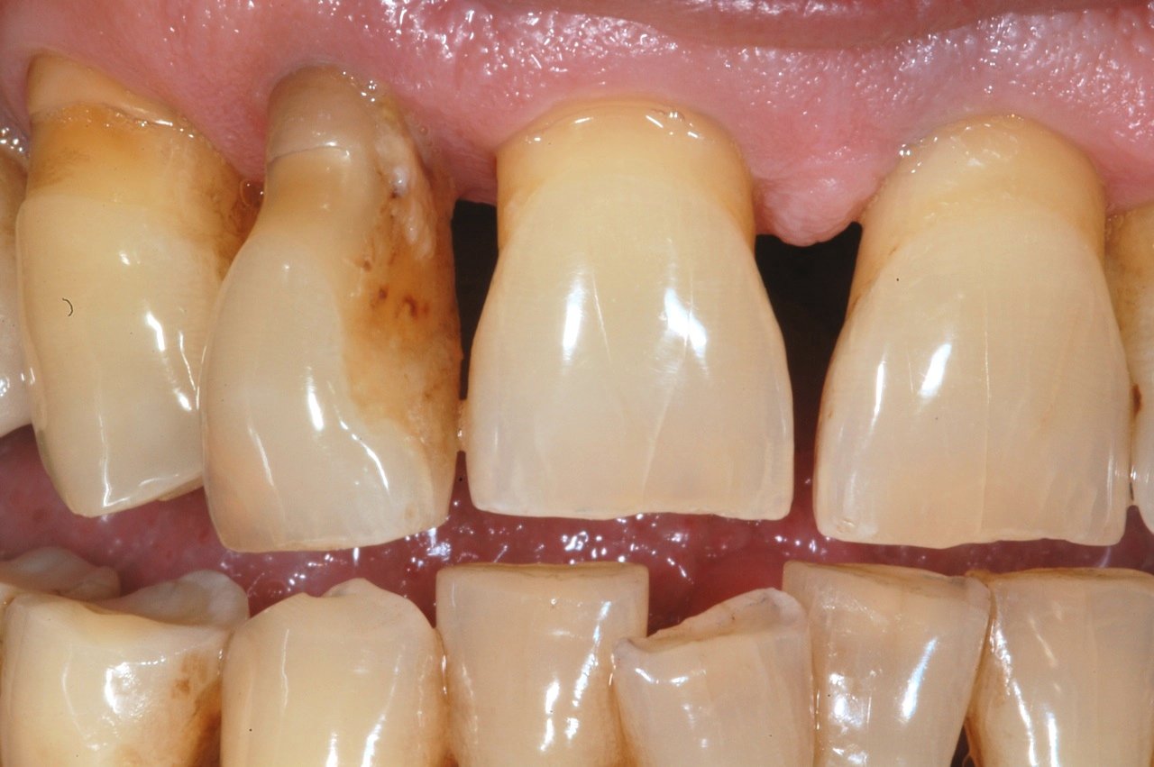
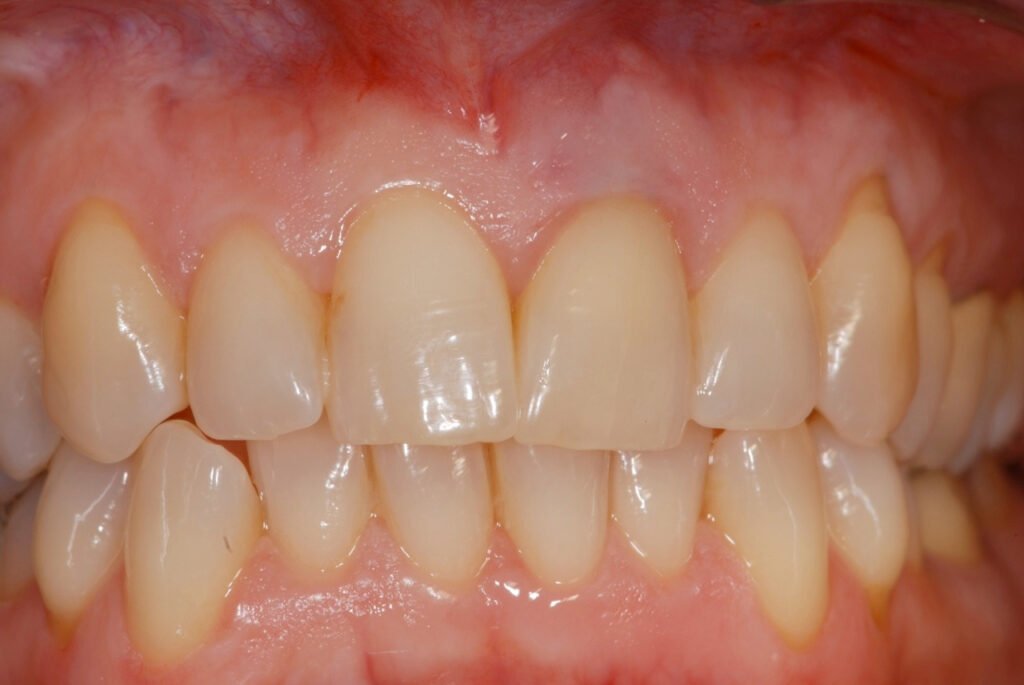
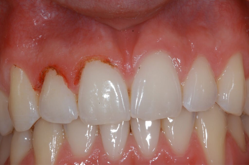
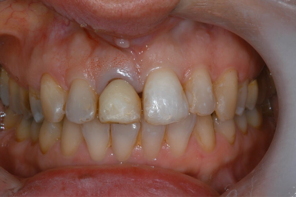
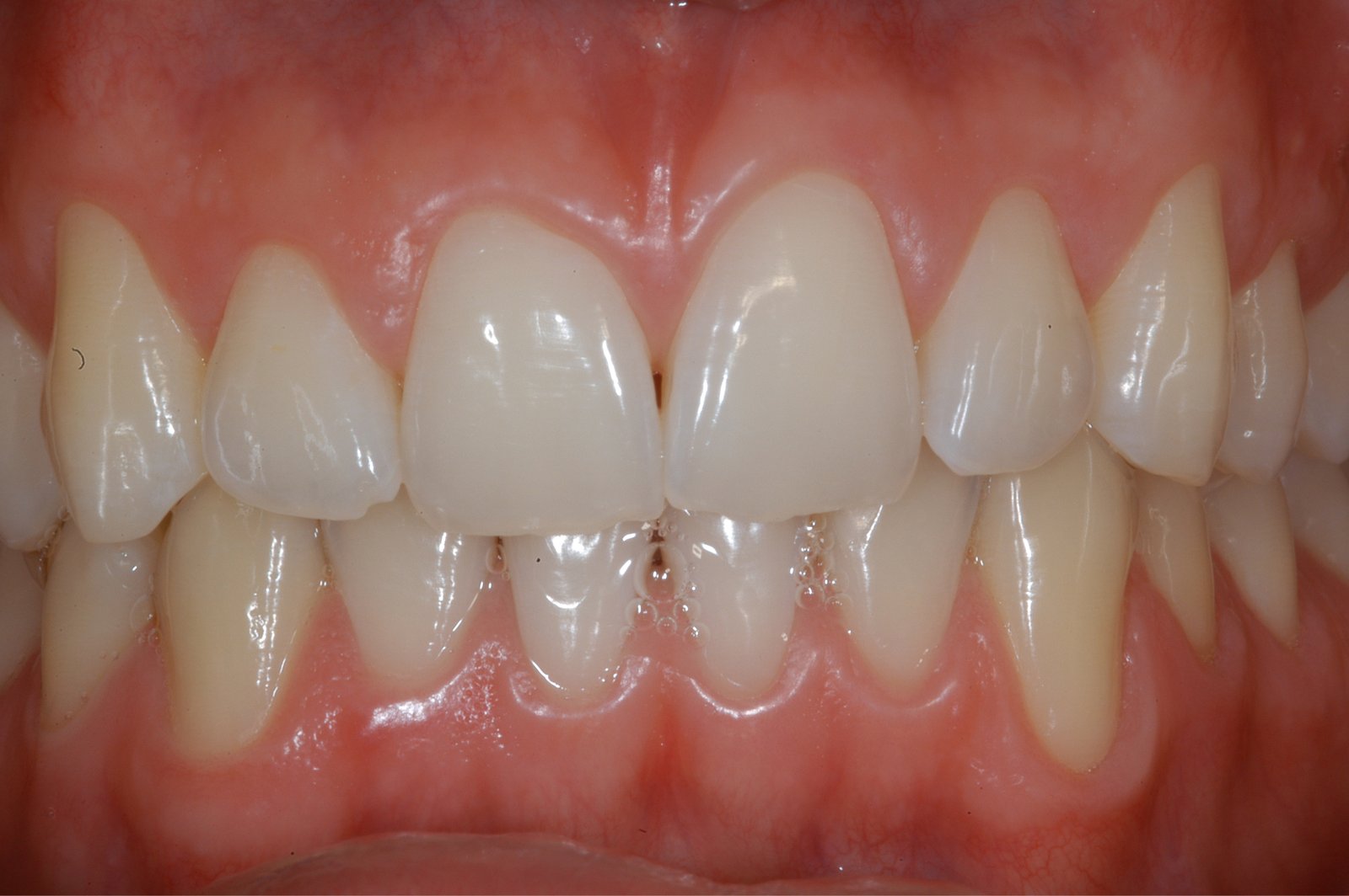
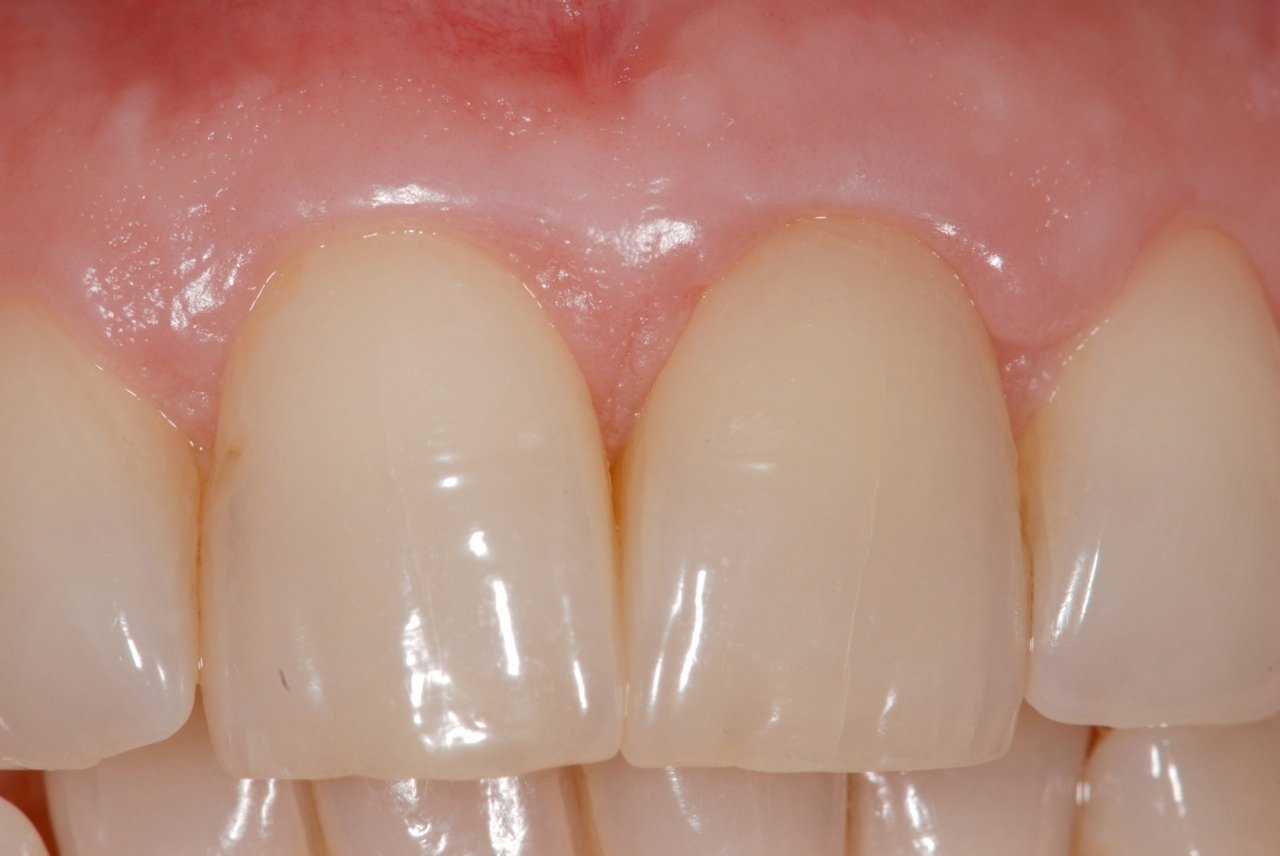
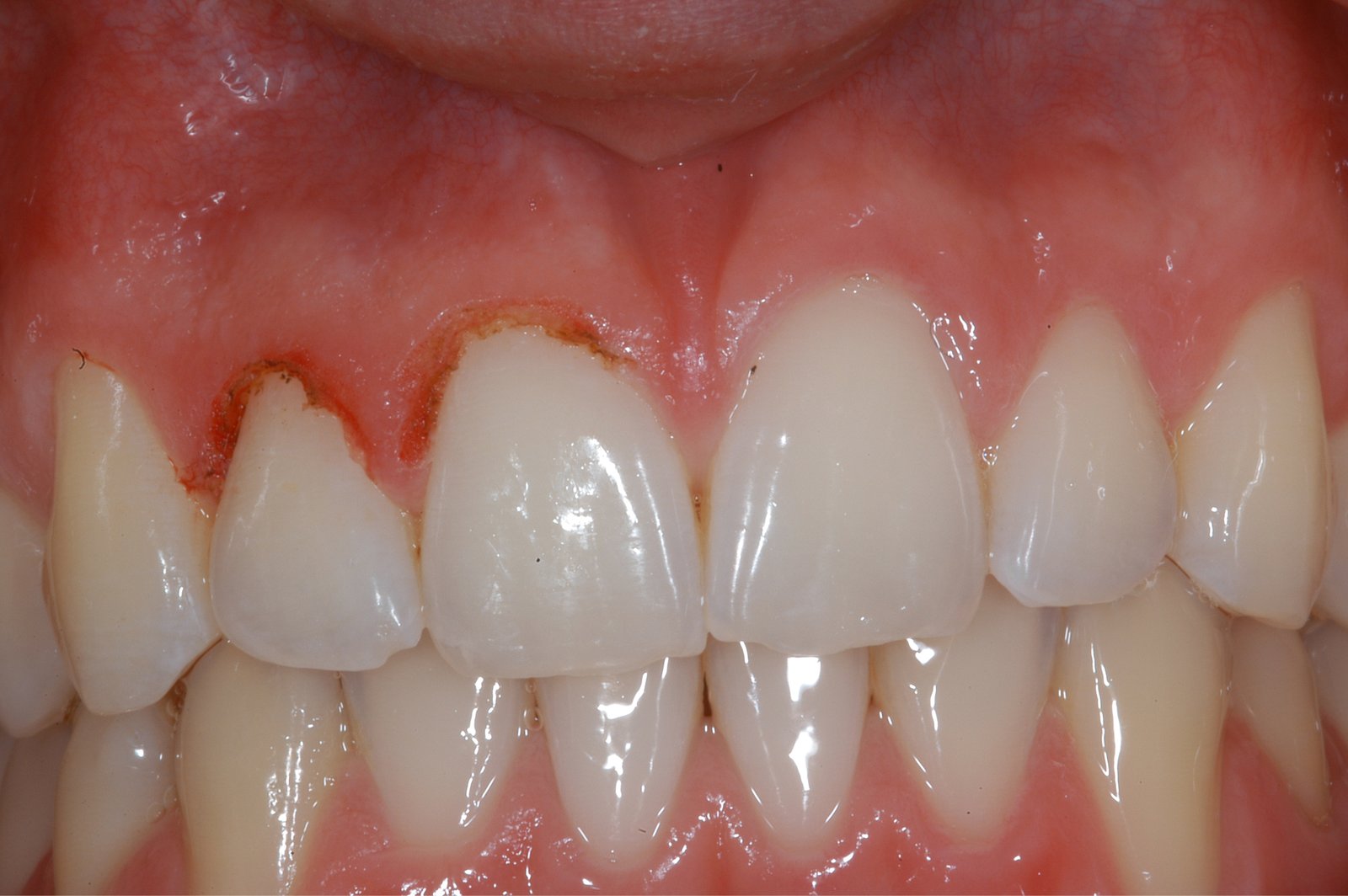
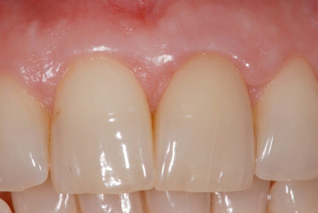
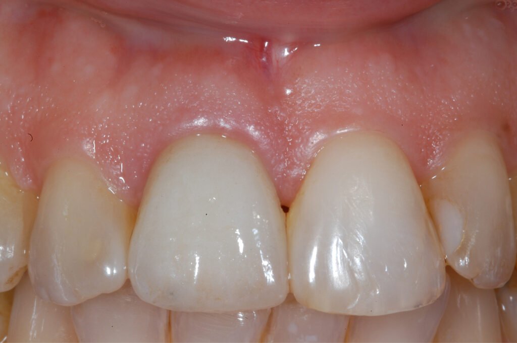
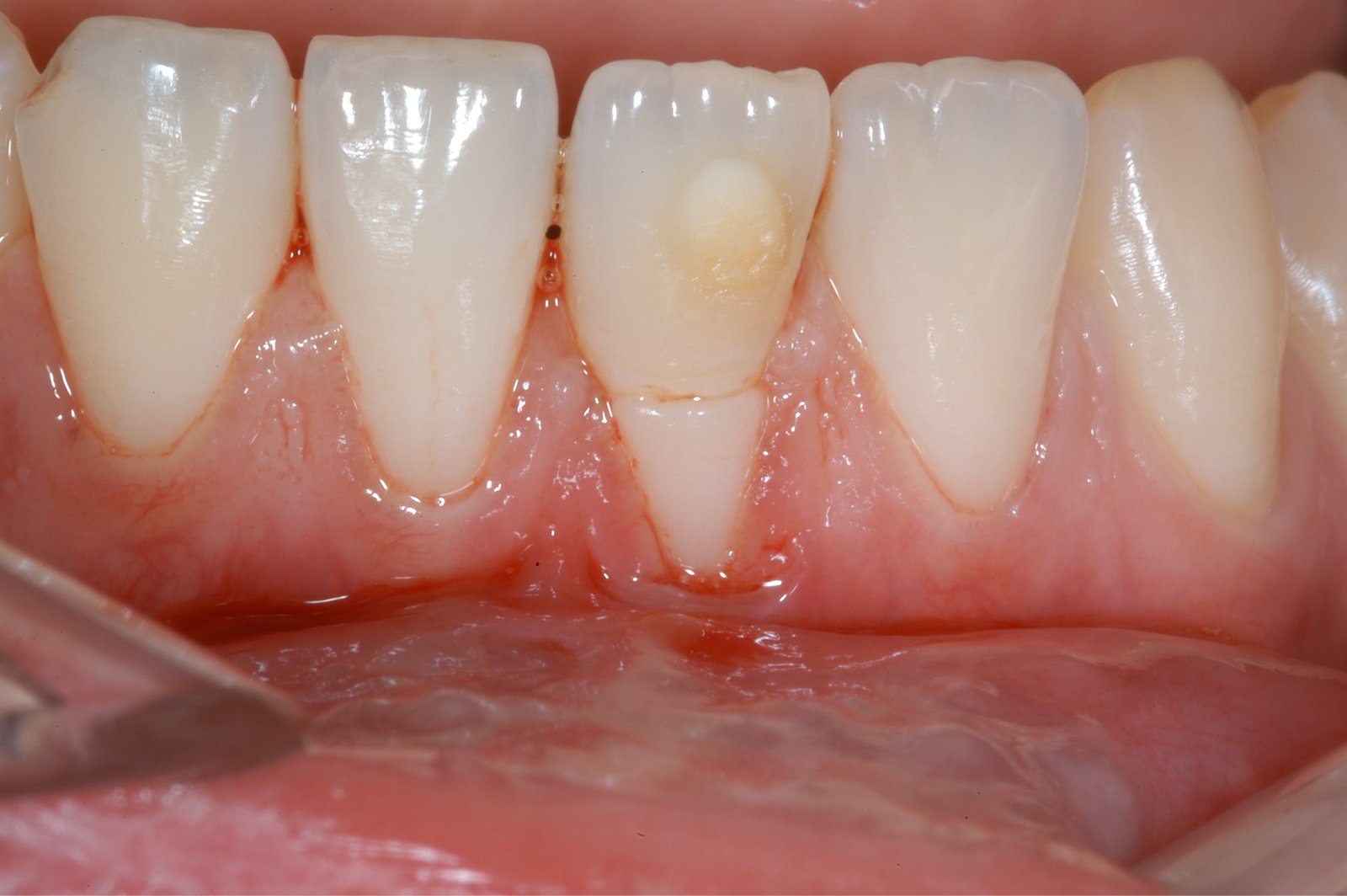
Chirurgia Estetica Parodontale

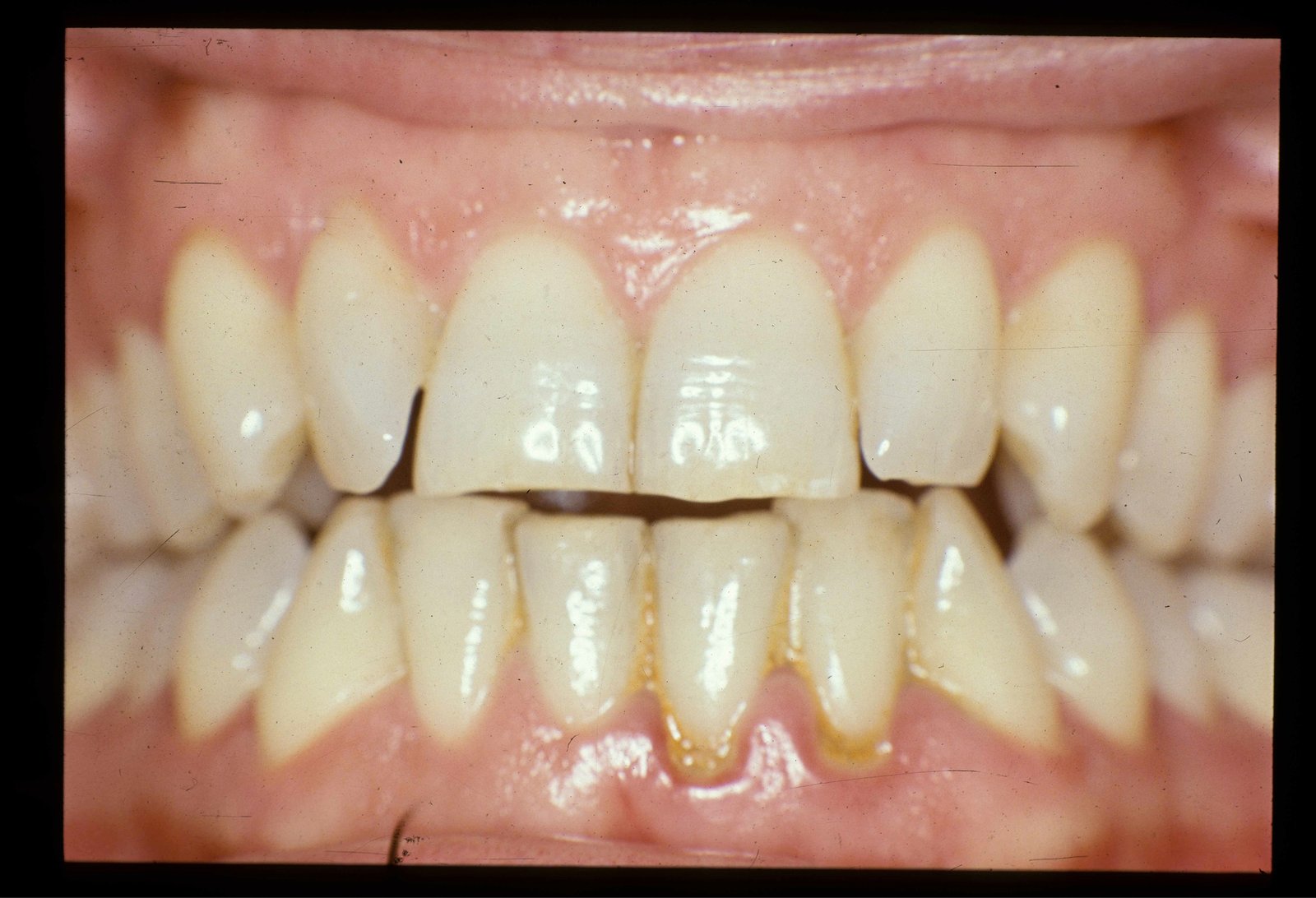
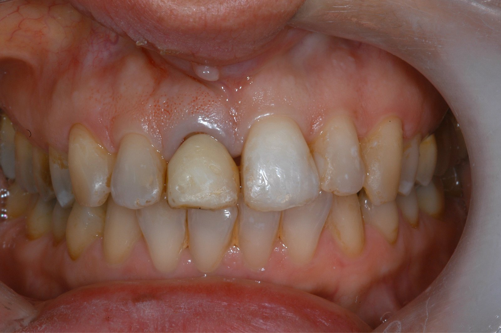
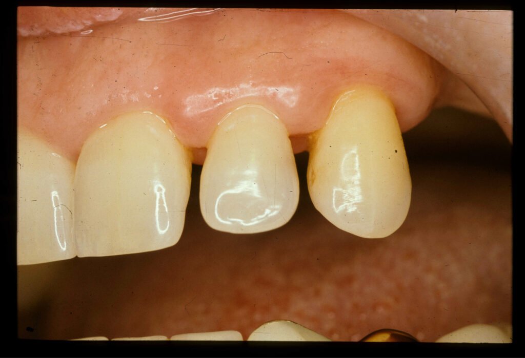
Oltre alla cura delle patologie dei tessuti di supporto dei denti la chirurgia parodontale si utilizza anche per migliorare l’estetica del sorriso con interventi atti a ricreare una armonia dei tessuti gengivali dalla copertura delle radici scoperte alla eliminazione del sorriso gengivale e di altri tipi di dismorfismi gengivali

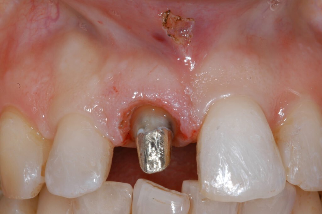
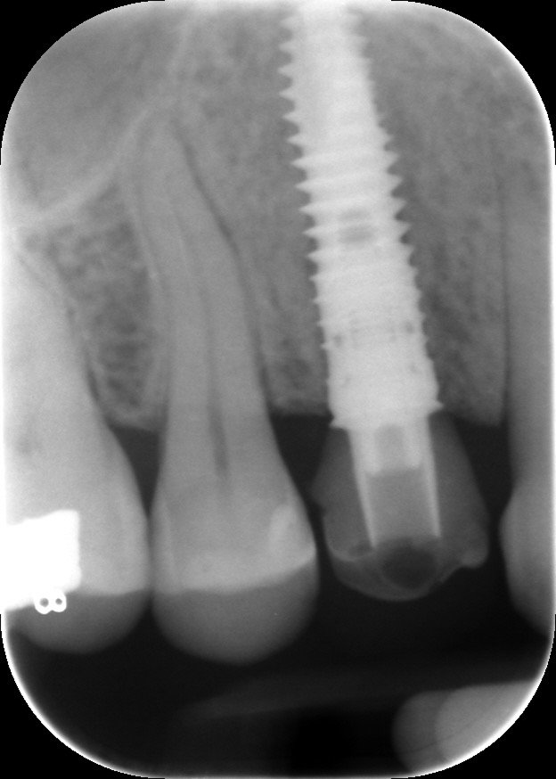
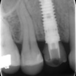
Chirurgia Implantare

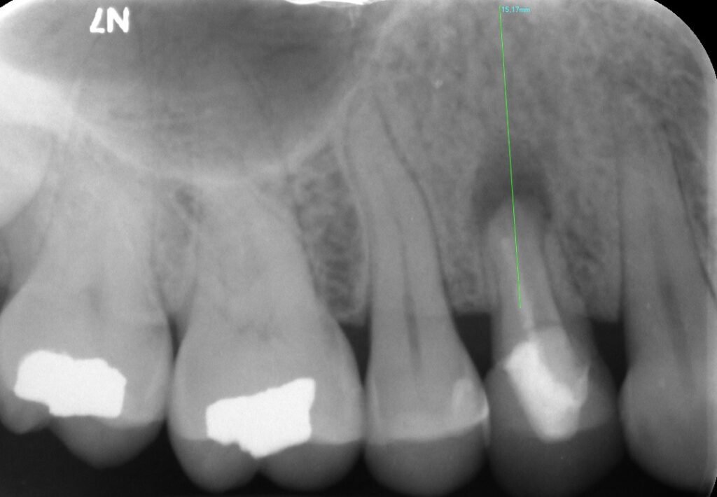
La chirurgia implantare permette la sostituzione di denti mancanti sia che manchi un elemento singolo sia che il paziente abbia perso molti o tutti i denti. In particolari condizioni può essere anche fatto in un unica seduta per dare il massimo del confort al paziente ed evitare lunghi periodi senza denti in particolare nelle zone estetiche della bocca.
Per ottenere dei risultati estetici ottimali si possono utilizzare tecniche di chirurgia estetica parodontale e di rigenerazione tissutale in contemporanea al posizionamento degli impianti